Question 1 Les rythmes infradiens (1 réponse vraie)
A. Ont une période supérieure à 24h
B. Sont régulés par l’horloge biologique
C. Font intervenir la sécrétion de calcitonine
D. Sont caractérisés par le cycle veille/sommeil
E. Ont une fréquence de 2s
Question 2 Le catabolisme correspond à (1 réponse vraie)
A. L’ensemble des réactions de dégradation des molécules
B. L’ensemble des réactions de synthèse des molécules
C. La présence d’hémoglobine dans la cellule
D. L’export des molécules dans le milieu extracellulaire
E. La traduction des protéines
Question 3 Les différents niveaux d’organisation du corps humain sont classés dans l’ordre suivant (1 réponse vraie)
A. Niveaux : chimique/ tissulaire/ cellulaire/ organique/ systémique/ de l’organisme entier
B. Niveaux : chimique/ cellulaire/ tissulaire/ organique/ systémique/ de l’organisme entier
C. Niveaux : chimique/ tissulaire/ cellulaire/ systémique/ organique/ de l’organisme entier
D. Niveaux : chimique/ cellulaire/ membranaire/ tissulaire/ organique/ systémique/ de l’organisme entier
E. Niveaux : tissulaire/ chimique/ cellulaire/ systémique/ organique/ de l’organisme entier
Question 4 Parmi la liste suivante, les 3 principaux plans anatomiques sont ? (3 réponses vraies)
A. Plan frontal
B. Plan sagittal
C. Plan proximal
D. Plan transversal
E. Plan distal
Question 5 Le foie se situe majoritairement dans la région (1 réponse vraie)
A. Épigastrique
B. Hypochondriaque droite
C. Hypochondriaque gauche
D. Inguinale droite
E. Inguinale gauche
Question 6 La nutrition et la croissance (3 réponses vraies)
A. La croissance est régulée exclusivement par l’hormone de croissance
B. L’alimentation peut jouer sur la croissance
C. 1g de protéines correspond à 2 calories
D. Les glucides sont des nutriments énergétiques
E. Les ostéoblastes interviennent dans la croissance osseuse
Question 7 La thermogenèse permet (1 réponse vraie)
A. De réguler le taux de glucose
B. D’augmenter la température corporelle
C. De diminuer la température corporelle
D. D’activer le cervelet
E. De produire les hormones sexuelles
Question 8 L’homéostasie (2 réponses vraies)
A. L’homéostasie correspond à la synthèse des protéines
B. L’homéostasie permet de réguler les variables physiologiques
C. Le rétrocontrôle négatif augmente le stimulus
D. Le centre de régulation de l’homéostasie est toujours l’hypothalamus
E. Le centre de régulation de l’homéostasie fixe l’intervalle de normalité de la variable physiologique
Question 9 Le glucagon (3 réponses vraies)
A. Est sécrété par les cellules du pancréas
B. Augmente la production de protéines
C. Est une hormone hyperglycémiante
D. Est un glucide
E. Agit sur le foie
Question 10 Les hormones (2 réponses vraies)
A. Les réponses biologiques provoquées par les hormones se produisent généralement plus rapidement que les réponses stimulées par le système nerveux
B. La production des hormones est généralement régulée par un rétrocontrôle positif
C. L’hypothalamus permet de stimuler la production de certaines hormones
D. Les hormones agissent sur des cellules cibles portant des récepteurs spécifiques
E. Les hormones sont exclusivement des peptides
Question 11 L’hormone qui favorise la libération de lait par les glandes mammaires est (1 réponse vraie)
A. L’ocytocine
B. La GnRH
C. La prolactine
D. La TRH
E. La calcitonine
Question 12 La régulation de la calcémie (2 réponses vraies)
A. La calcitonine est synthétisée par les glandes parathyroïdes
B. Le calcium intervient dans la contraction musculaire
C. Une hypocalcémie correspond à une augmentation de la calcémie
D. La calcémie normale est comprise entre 2,3 et 2,6 mmol/L
E. Le calcitriol est synthétisé à partir de la vitamine E
Question 13 L’hypophyse (2 réponses vraies)
A. Elle est constituée de 2 lobes
B. C’est une glande exocrine
C. Elle synthétise des hormones
D. Les lobes sont séparés par le cervelet
E. La posthypophyse est aussi appelée apérohypophyse
Question 14 L’hypothalamus sécrète (3 réponses vraies)
A. L’ocytocine
B. La GnRH
C. La GH
D. La TRH
E. La calcitonine
Question 15 La glande thyroïde (1 réponse vraie)
A. Est située dans la cavité thoracique
B. Est située en arrière de la trachée
C. Est une glande exocrine
D. Synthétise l’ADH
E. Synthétise la thyroxine T4
Question 16 Un apport insuffisant d’iode dans le régime alimentaire agit sur la production de (1 réponse vraie)
A. L’aldostérone
B. Le glucagon
C. La parathormone
D. La prolactine
E. La thyroxine T4
Question 17 Les glandes surrénales (2 réponses vraies)
A. Elles sont situées en-dessous de chaque rein
B. Elles sécrètent des hormones thyroïdiennes
C. Elles sont situées au-dessus de chaque rein
D. Elles sont composées d’un cortex et d’une médulla
E. La GXRY stimule la sécrétion des hormones du cortex
Question 18 Quels sont les organes cibles de la FSH ? (2 réponses vraies)
A. Le pancréas
B. Les testicules
C. La thyroïde
D. Le rein
E. Les ovaires
Question 19 L’hormone de croissance (3 réponses vraies)
A. Est produite par le cœur
B. Peut entrainer un gigantisme
C. Est régulée par l’axe hypothalamo-hypophysaire
D. Régule la croissance osseuse
E. Permet la sécrétion de l’ACTH
Question 20 Parmi la liste suivante, quelles sont les modalités de défense non spécifique ? (4 réponses vraies)
A. Les phagocytes
B. La peau
C. Le mucus
D. L’acidité gastrique
E. Les blastocystes
Question 21 Les plasmocytes (1 réponse vraie)
A. Sont des anticorps
B. Permettent la production de lymphocytes
C. Permettent la production de macrophages
D. Sont issus des lymphocytes B
E. Sont des cellules mémoires
Question 22 Les cellules phagocytaires sont (2 réponses vraies)
A. Produites à partir des cellules souches hématopoïétiques
B. Produites dans la moelle épinière
C. Des cellules intervenant dans la réponse immunitaire
D. Les plaquettes
E. Les érythrocytes
Question 23 Le système immunitaire à médiation humorale (3 réponses vraies)
A. Fait intervenir les immunoglobulines
B. Appartient au niveau de défense non spécifique
C. Est doué de « mémoire »
D. Fait intervenir les hépatocytes
E. Fait intervenir les plasmocytes
Question 24 La réponse immunitaire spécifique est activée lorsque l’organisme rencontre (1 réponse vraie)
A. Un anticorps
B. Un antigène
C. Des nutriments
D. La vitamine Y
E. Les cellules BA
Question 25 Les 4 signes de l’inflammation sont (4 réponses vraies)
A. La rougeur
B. La douleur
C. La chaleur
D. L’hypoxie
E. L’œdème (gonflement)
Question 26 Le système nerveux central (SNC) comprend (3 réponses vraies)
A. L’encéphale
B. Le cervelet
C. La moelle osseuse
D. La moelle épinière
E. Le foie
Question 27 L’encéphale comprend (3 réponses vraies)
A. Le cerveau
B. Le tronc cérébral
C. La moelle épinière
D. Le cervelet
E. La moelle osseuse
Question 28 L’hypothalamus (3 réponses vraies)
A. Joue sur le système endocrinien
B. Contrôle le système nerveux autonome
C. Appartient au système immunitaire
D. A un rôle dans les émotions
E. Est situé dans le télencéphale
Question 29 Le système nerveux périphérique (SNP) est constitué (3 réponses vraies)
A. Du système nerveux somatique
B. De la moelle épinière
C. Du système nerveux autonome
D. De l’encéphale
E. Du système nerveux parasympathique
Question 30 Les protections du SNC (système nerveux central) sont (3 réponses vraies)
A. La boite crânienne
B. Le liquide céphalorachidien
C. Les méninges
D. Le thymus
E. Les adipocytes
Question 31 Le système nerveux autonome (SNA) (2 réponses vraies)
A. Il permet le contrôle des activités involontaires
B. Il est contrôlé par l’hypothalamus
C. Il comprend le système nerveux somatique
D. Les nerfs crâniens naissent de la moelle épinière
E. Les systèmes sympathique et parasympathique ont des effets similaires sur les organes cibles
Question 32 La cavité buccale (2 réponses vraies)
A. La salive est composée majoritairement d’ARN
B. L’amylase salivaire débute la digestion des protéines
C. Les glandes parotides sont des glandes salivaires
D. La langue aide à la mastication des aliments
E. Les glandes sublinguales sécrètent le plus grand volume de salive
Question 33 Concernant le schéma de la tête et du cou (1 réponse vraie)

A. Est le nasopharynx
B. Est la trachée
C. Est la luette
D. Est l’œsophage
E. Est le larynx
Question 34 Parmi la liste suivante, quels sont les organes dont la fonction est uniquement digestive ? (2 réponses vraies)
A. L’estomac
B. Le foie
C. Le jéjunum
D. Le pancréas
E. Le pharynx
Question 35 La déglutition (3 réponses vraies)
A. Est une étape de la digestion
B. Est déclenchée par l’ouverture du pylore
C. Fait intervenir la luette
D. Fait intervenir l’épiglotte
E. Ferme le nasopharynx pendant 30 min
Question 36 L’estomac (2 réponses vraies)
A. Est situé majoritairement dans l’hypochondre gauche
B. Permet une digestion mécanique
C. Sécrète de l’acide chlorhydrique
D. Contient de la trypsine
E. Contient des ions bicarbonates HCO3-
Question 37 Les différentes parties de l’intestin grêle sont (3 réponses vraies)
A. Le jéjunum
B. L’iléon
C. Le caecum
D. Le côlon sigmoïde
E. Le duodénum
Question 38 Le suc pancréatique est (1 réponse vraie)
A. Acide
B. Basique
C. Neutre
D. Synthétisé par les hépatocytes
E. Aussi appelé suc gastrique
Question 39 Les phases pancréatique, hépatique et biliaire (3 réponses vraies)
A. Le suc pancréatique permet d’augmenter l’acidité du chyme
B. Le suc pancréatique contient des enzymes digestives
C. Le foie est l’organe le plus petit de l’organisme
D. Le foie est situé dans l’hypochondre droit
E. La veine porte hépatique amène des nutriments digérés au foie
Question 40 La vésicule biliaire (1 réponse vraie)
A. Stocke la bile
B. Est située sur la face supérieure de l’estomac
C. Synthétise le suc gastrique
D. Est reliée au canal de Wirsung
E. Synthétise la bile
Question 41 L’appareil urinaire (1 réponse vraie)
A. Le haut de l’appareil urinaire est constitué de la vessie et de l’urètre
B. L’homme adulte présente 3 uretères
C. L’élaboration de l’urine est la seule fonction des reins
D. La vessie appartient à l’appareil urinaire
E. Le cortex rénal est la partie centrale du rein
Question 42 L’unité fonctionnelle du rein qui produit l’urine est (1 réponse vraie)
A. Le néphron
B. La pyramide rénale
C. Le bassinet
D. Les calices mineurs
E. Les calices majeurs
Question 43 Concernant la coupe du rein (3 réponses vraies)

A. Est l’artère rénale
B. Est la veine rénale
C. Est l’urètre
D. Est un calice rénal
E. Est le cortex rénal
Question 44 Les substances présentes à l’état physiologique dans les urines sont (2 réponses vraies)
A. L’eau
B. L’urée
C. Le glucose
D. Les globules rouges
E. L’hémoglobine
Question 45 La réabsorption tubulaire permet le passage (1 réponse vraie)
A. Du sang vers la veine rénale
B. Des protéines vers l’aorte
C. De l’eau vers les capillaires péritubulaires
D. Du magnésium vers le foie
E. Du calcium vers le glomérule
Question 46 La prostate (3 réponses vraies)
A. Synthétise la testostérone
B. Entoure la partie initiale de l’urètre
C. Est située sous la vessie
D. Est située dans la cavité abdominale
E. Participe à la formation du sperme
Question 47 Les spermatozoïdes sont élaborés au niveau (1 réponse vraie)
A. Du canal éjaculateur
B. Du canal déférent
C. Des tubules séminifères
D. De la vessie
E. De la prostate
Question 48 Concernant les organes génitaux féminins (2 réponses vraies)

A. Est une trompe utérine
B. Sont les glandes de Cowper
C. Est le vagin
D. Est le col de l’utérus
E. Est l’urètre
Question 49 Les ovaires (1 réponse vraie)
A. Produisent la testostérone
B. Sont au nombre de 5
C. Sont situés en dessous de la vessie
D. Sont des glandes mixtes
E. Sont aussi appelés chorion
Question 50 La paroi utérine comprend (3 réponses vraies)
A. Le périmètre
B. L’endomètre
C. Le biomètre
D. Le céphalomètre
E. Le myomètre
Question 51 Le cycle menstruel et la production des gamètes (1 réponse vraie)
A. Le développement des follicules ovariens est provoqué par la sécrétion de la TSH
B. L’ovulation est déclenchée après un pic de sécrétion de STH
C. L’ovulation correspond à la rupture du follicule de De Graff
D. L’ovogenèse permet la production des spermatides
E. Le myomètre est éliminé au cours des menstruations
Question 52 Le cartilage (1 réponse vraie)
A. Il est vascularisé
B. Il est synthétisé par les ostéocytes
C. Le cartilage hyalin est présent au niveau des articulations synoviales
D. Les disques intervertébraux sont composés de cartilage hyalin
E. Le cartilage de conjugaison est présent dans les os longs durant toute la vie
Question 53 L’ostéologie (4 réponses vraies)
A. Les ostéoclastes détruisent la matrice osseuse
B. Les os plats contiennent de la moelle rouge
C. Les os plats présentent une épiphyse
D. L’os spongieux est présent dans l’épiphyse
E. L’os compact contient des ostéons
Question 54 Concernant le schéma du squelette (3 réponses vraies)

A. Est l’articulation coxo-fémorale
B. Est l’os iliaque
C. Sont les vertèbres thoraciques
D. Est le coccyx
E. Est l’os occipital
Question 55 Concernant le schéma de l’articulation synoviale (2 réponses vraies)

A. Est du cartilage
B. Est la cavité articulaire
C. Est le liquide synovial
D. Est la capsule syllabique
E. Est un ligament
Question 56 Arthrologie et mouvement (3 réponses vraies)
A. L’abduction écarte un membre de l’axe du corps
B. L’articulation scapulo-humérale est une énarthrose
C. Le liquide synovial sert de lubrifiant
D. L’extension rapproche deux segments osseux
E. Un muscle agoniste est opposé du mouvement
Question 57 Arthrologie et les mouvements (3 réponses vraies)
A. La pronation place la paume de main vers le haut
B. L’articulation coxo-fémorale est l’articulation du genou
C. La diarthrose est une articulation très mobile
D. L’abduction écarte un membre de l’axe du corps
E. Ménisque et bourrelet désignent des éléments cartilagineux
Question 58 Le cœur (2 réponses vraies)
A. Il est approvisionné en dioxygène par le sinus coronaire
B. Il est situé à droite du médiastin
C. Il repose sur le diaphragme
D. Le myocarde représente la tunique externe fonctionnelle majeure
E. Les ligaments péricardiques attachent le cœur à la cage thoracique
Question 59 Les valves cardiaques (1 réponse vraie)
A. La valve auriculoventriculaire gauche (mitrale) est tricuspide
B. Les valves cardiaques permettent l’écoulement unidirectionnel du sang
C. La valve pneumatique sépare le ventricule gauche de l’artère pulmonaire
D. Les valves sigmoïdes séparent les oreillettes des ventricules
E. Les valves sigmoïdes sont liées au myocarde par des cordages tendineux
Question 60 Concernant la paroi cardiaque (3 réponses vraies)

A. Est l’endocarde
B. Est l’épicarde
C. Est le feuillet viscéral du péricarde
D. Est le myocarde
E. Est le péricarde séreux
Question 61 Concernant la petite circulation (2 réponses vraies)

A. Est la carotide
B. Est l’oreillette droite
C. Est l’artère pulmonaire droite
D. Est le ventricule droit
E. Est le péricarde
Question 62 Le système cardionecteur ou système de conduction intrinsèque (4 réponses vraies)
A. Il est responsable de l’activité électrique du cœur
B. Le nœud sinusal est responsable du rythme cardiaque
C. Le nœud auriculoventriculaire est situé à la base de l’oreillette droite
D. Le faisceau de His est situé dans la paroi externe des oreillettes
E. Les fibres de Purkinje remontent les parois ventriculaires
Question 63 ECG et la révolution cardiaque (4 réponses vraies)
A. L’ECG enregistre l’activité électrique du cœur
B. Le complexe RS correspond au rythme sinusal
C. L’onde P entraine la contraction des oreillettes
D. La diastole est une phase de relâchement
E. L’activité électrique induit la contraction cardiaque
Question 64 L’appareil respiratoire (2 réponses vraies)
A. Les fosses nasales sont le point de départ des voies aériennes supérieures
B. Le pharynx a une fonction de phonation
C. L’épiglotte fait partie du larynx
D. Les bronchioles font directement suite à la trachée
E. La membrane alvéolo-capillaire est imperméable aux gaz respiratoires
Question 65 Les cavités nasales (4 réponses vraies)
A. 3 cornets augmentent la surface de la muqueuse nasale
B. La muqueuse est dépourvue de poils
C. Des cellules de la muqueuse produisent du mucus
D. Les cavités nasales ont aussi une fonction olfactive
E. Un septum sépare les 2 cavités gauche et droite
Question 66Le pharynx (3 réponses vraies)
A. Est divisé en épiglotte et œsophage
B. Comprend les amygdales linguales
C. A une fonction digestive
D. Se situe en dessous du larynx
E. Participe au conditionnement de l’air inspiré
Question 67 La trachée (4 réponses vraies)
A. La trachée fait partie des voies aériennes inférieures
B. La paroi de la trachée contient des anneaux cartilagineux
C. La trachée est suivie par les bronches souches
D. La trachée s’étend des vertèbres C3 à T8
E. La muqueuse trachéale est pourvue de cellules ciliées
Question 68 Mécanique ventilatoire (2 réponses vraies)
A. L’inspiration est un mécanisme passif
B. Le diaphragme est le seul muscle respiratoire
C. Un cycle respiratoire est composé d’une inspiration et d’une expiration
D. Les centres respiratoires sont situés au niveau du cerveau
E. L’expiration diminue le volume thoracique
Question 69 L’oreille externe comprend (1 réponse vraie)
A. La trompe d’Eustache
B. Le pavillon
C. Le labyrinthe osseux
D. La chaîne des osselets
E. Le labyrinthe membraneux
Question 70 Les cônes, photorécepteurs de la rétine, sont (1 réponse vraie)
A. Des neurones
B. Des adipocytes
C. Des fibroblastes
D. Des globules rouges
E. Des myocytes
Question 71 Concernant le globe oculaire (4 réponses vraies)

A. Est la sclérotique
B. Est la rétine
C. Est le corps vitré
D. Est le cristallin
E. Est la cornée
Question 72 Parmi la liste suivante, quelles sont les papilles gustatives présentes sur la langue ? (3 réponses vraies)
A. Les papilles fongiformes
B. Les papilles caliciformes
C. Les papilles foliées
D. Les papilles prismatiques
E. Les papilles olfactives
Question 73 La grossesse et l’accouchement (1 réponse vraie)
A. Le placenta se forme lors de la nidation
B. La fécondation est la fusion de 2 cellules diploïdes
C. La période fœtale va de la fécondation au 6ème mois de grossesse
D. L’accouchement à terme survient à 60 semaines d’aménorrhée
E. L’hormone hCG est sécrétée par les glandes mammaires
Question 74 Concernant la grossesse (3 réponses vraies)

A. Est le placenta
B. Est le péritoine
C. Est le cordon ombilical
D. Est la paroi de la trompe utérine
E. Est le col de l’utérus
Question 75 Le score d’Apgar à la naissance prend en compte (1 réponse vraie)
A. La couleur des yeux
B. La coloration de la peau
C. La taille
D. Le poids
E. Le périmètre crânien
Question 76 L’âge adulte (3 réponses vraies)
A. L’andropause concerne les hommes à partir de 50 ans
B. La ménopause signe la fin des capacités de reproduction de la femme
C. L’andropause est due à une augmentation du taux de testostérone
D. La ménopause apparaît toujours avant 40 ans
E. L’andropause peut induire une baisse de la libido
Question 77 A 2 ans, l’enfant sain pèse en moyenne (1 réponse vraie)
A. 3kg
B. 6kg
C. 12kg
D. 20kg
E. 25kg
Question 78 L’ADN (4 réponses vraies)
A. A une structure en double hélice
B. Est constitué de nucléotides
C. Se réplique en phase S
D. Est majoritairement contenu dans le peroxysome
E. Est contenu dans le noyau et la mitochondrie
Question 79 Anomalies chromosomiques (3 réponses vraies)
A. La formule chromosomique 47,XY,+21 est celle d’une femme
B. L’aneuploïdie est une anomalie du nombre de chromosomes
C. Les translocations concernent deux chromosomes différents
D. Les monosomies sont détectables par un caryotype
E. La triploïdie est viable
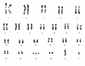
Question 80 Concernant ce caryotype (3 réponses vraies)

A. Ce caryotype a pu être réalisé en diagnostic postnatal
B. Les chromosomes sont classés selon leur taille
C. Une aneuploïdie est identifiable
D. Il pose le diagnostic de trisomie 12
E. Ce caryotype est celui d’une femme
Pas de correction disponible pour le moment.